[渭南市中心医院] 渭南市中心医院成功实施高难度胸腺瘤手术

  [复制链接]

该用户从未签到

分享到:
发表于 2025-9-24 17:32 | 显示全部楼层 |阅读模式

马上注册荣耀渭南网,结交渭南乡党,享用更多功能,让你轻松玩转荣耀网

您需要 登录 才可以下载或查看,没有账号?立即注册 |

x
173027dr1ta2nrapgznrnt.png


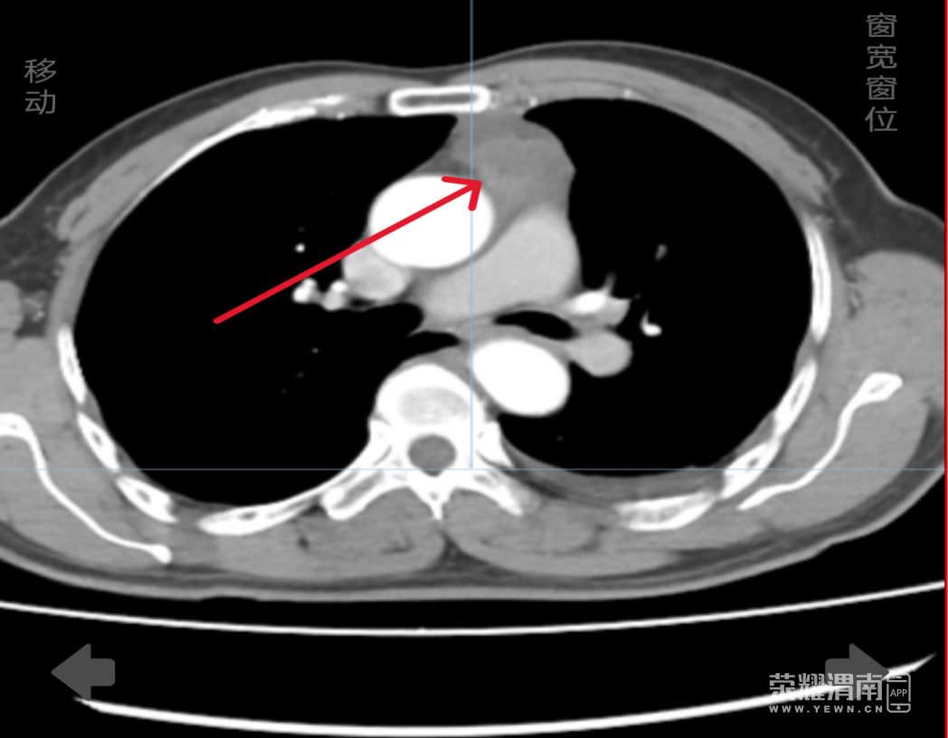
9月9日,渭南市中心医院胸外科团队成功完成一例剑突下胸腔镜中转正中开胸手术,为一名72岁胸腺瘤患者解除病痛。该手术展现了医院在复杂胸外科疾病诊疗方面的综合实力。

173027z92zbizkzp32c663.png

患者因间歇性胸背部疼痛入院,经检查发现胸腺瘤位置特殊,与周围组织关系复杂。胸外科负责人李卫国团队经充分评估,决定先行尝试胸腔镜微创手术。术中发现肿瘤与重要血管紧密粘连,分离难度大、出血风险高。李卫国与王宏涛教授根据术前预案,果断决定转为正中开胸手术,在充分沟通获得家属同意后,顺利完成肿瘤切除。患者术后恢复良好,已康复出院。

此次高难度手术的成功实施,体现了该院胸外科在复杂病情评估、术中决策及多术式转换等方面的专业能力,为提升区域胸外科疾病救治水平积累了宝贵经验。


关注2.png
荣耀渭南网---每天我们都在影响这座城市!

该用户从未签到

发表于 2025-9-24 19:32 手机版 | 显示全部楼层
中心医院的技术攻破
荣耀渭南网---每天我们都在影响这座城市!

该用户从未签到

发表于 2025-9-24 19:35 手机版 | 显示全部楼层
技术不断完善进步,点赞
荣耀渭南网---每天我们都在影响这座城市!

该用户从未签到

发表于 2025-9-24 19:48 手机版 | 显示全部楼层
医术精益求精……
荣耀渭南网---每天我们都在影响这座城市!

该用户从未签到

发表于 2025-9-24 20:09 手机版 | 显示全部楼层
成功实施高难度胸腺瘤手术
荣耀渭南网---每天我们都在影响这座城市!

该用户从未签到

发表于 2025-9-24 20:19 手机版 | 显示全部楼层
胸腺瘤患者手术成功
荣耀渭南网---每天我们都在影响这座城市!

该用户从未签到

发表于 2025-9-24 20:25 手机版 | 显示全部楼层
中心医院的技术攻破
荣耀渭南网---每天我们都在影响这座城市!

该用户从未签到

发表于 2025-9-24 20:28 手机版 | 显示全部楼层
医生技术高,挑战高难度
荣耀渭南网---每天我们都在影响这座城市!

该用户从未签到

发表于 2025-9-24 20:28 手机版 | 显示全部楼层
医疗水平在提高
荣耀渭南网---每天我们都在影响这座城市!

签到天数: 685 天

[LV.9]以坛为家II

发表于 2025-9-24 20:40 手机版 | 显示全部楼层
给这些优秀的医生点赞
荣耀渭南网---每天我们都在影响这座城市!

使用高级回帖 (可批量传图、插入视频等)快速回复

您需要登录后才可以回帖 登录 | 立即注册 |

本版积分规则   Ctrl + Enter 快速发布  

发帖时请遵守我国法律,网站会将有关你发帖内容、时间以及发帖IP地址等记录保留,只要接到合法请求,即会将信息提供给有关政府机构。
返回顶部快速回复返回列表找客服
快速回复 返回顶部 返回列表