年轻小伙咳嗽一声,肺“炸”了!这种体型尤其要注意!

[复制链接]

该用户从未签到

分享到:
发表于 2021-4-26 16:52 | 显示全部楼层 |阅读模式

马上注册荣耀渭南网,结交渭南乡党,享用更多功能,让你轻松玩转荣耀网

您需要 登录 才可以下载或查看,没有账号?立即注册 |

x


165246shzh8boc18typn8i.jpg
“我的一只肺几乎不见了,你……”
“我也是”,
两位年轻男子你一言我一语,
乍一听,还以为朋友间在开玩笑,
但他们都穿着医院的病号服。
165246h8x6wqk4j0zpxrwc.jpg


近日,浙江杭州某医院急诊外科一天接诊两位小伙,病因还是同一个:均因一侧肺“炸”了......


165246uyg6llnb46ebl4s2.jpg


什么也没做

两小伙的肺突然“炸” 了


“没什么大的运动量,好像就咳嗽了一声”,面对医生询问,21岁的杭州小伙小乐(化名)仍一脸迷惑。


小乐身高1米75,体重55公斤。前一天晚饭时,小乐突然觉得右侧胸闷,呼吸困难,胸痛并向右侧肩部放射痛……小乐当晚并未去医院就医,可第二天起来后,他发现疼痛加剧,赶紧到医院就诊。


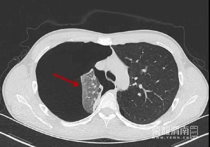
胸部CT提示右侧气胸,右肺犹如被戳破的气球,都已瘪了,肺组织压缩达90%,属于典型的自发性气胸,若不及时抢救会危及生命。


165246uuriuv58p6du22hu.jpg


而与小乐同一天住院的小邓(化名)还是名中学生,今年才17岁。


因琐事与父母争吵后,情绪激动,突然觉得右侧胸闷,呼吸困难、轻微胸痛,在附近医院就诊,胸部CT检查提示其右侧气胸,肺组织压缩85%。


医生表示,他在家休息2天后,小邓胸闷等症状未见好转,这才转来医院。复查胸部CT提示肺组织仍压缩85%,急诊予以吸氧、胸腔穿刺闭式引流,后胸闷逐渐缓解。


气胸好发瘦高个年轻人且重男轻女


气胸的定义为胸廓脏层胸膜和壁层胸膜之间的胸膜腔有气体积聚。男性发生率约是女性3-6倍,发病高峰出现在16-24岁。


临床上,部分瘦高体形青年人群发育时生长较快,肺泡上弹力纤维发育不良,肺泡相对弹性较差,很容易出现破裂。目前还没有十分明确的结论,但大量的统计结果发现,原发性自发性气胸更多发生于瘦高体型的男性。


医生介绍,气胸患者可以在静息状态下起病,但不少患者可能发生在剧烈运动、胸腔内压力积聚上升(如打喷嚏、举重和Valsalva动作(深吸气后屏气,再用力做呼气动作,增加胸腔内压力))后发生。


165247ncvt5onq0epl2vie.jpg

吸烟会致自发性气胸风险成倍增加


自发性气胸最简单的诊断方法是胸部X线或胸部CT,可明确气胸的位置及肺组织压缩程度,部分病例可明确肺大疱诊断。


165247d0r28l2iy818i23i.jpg


医生提醒:

吸烟会使自发性气胸风险成倍增加。

吸烟会导致

气胸的发作次数随之增加,

这样自然会影响呼吸道功能,出现呼吸急促,

缺氧等等的情况。

一旦呼吸道出现问题,身体机能会随之下降。




来源:钱江晚报、新闻夜航

荣耀渭南网---每天我们都在影响这座城市!

该用户从未签到

发表于 2021-4-26 17:04 手机版 | 显示全部楼层
荣耀渭南网---每天我们都在影响这座城市!

该用户从未签到

发表于 2021-4-26 17:06 | 显示全部楼层
太可怕了,看来我得减肥了
荣耀渭南网---每天我们都在影响这座城市!

使用高级回帖 (可批量传图、插入视频等)快速回复

您需要登录后才可以回帖 登录 | 立即注册 |

本版积分规则   Ctrl + Enter 快速发布  

发帖时请遵守我国法律,网站会将有关你发帖内容、时间以及发帖IP地址等记录保留,只要接到合法请求,即会将信息提供给有关政府机构。
返回顶部快速回复返回列表找客服
快速回复 返回顶部 返回列表