男子左肝被掏空,长满了虫...医生提醒:夏天这些需注意

  [复制链接]

该用户从未签到

分享到:
发表于 2021-6-22 14:47 | 显示全部楼层 |阅读模式

马上注册荣耀渭南网,结交渭南乡党,享用更多功能,让你轻松玩转荣耀网

您需要 登录 才可以下载或查看,没有账号?立即注册 |

x

四川55岁的谢先生

到杭州打工十余年

因父亲病故回老家小住了一段时间

不久后便食欲不振和乏力

起初

还伴有不明原因的轻度腹痛、腹泻

4个月过去了

他一直以为是心情郁闷所致

直到出现了三天的畏寒、发热

才到杭州市第一人民医院就诊



这一检查可把医生和他都吓坏了

因为超声影像科检查显示

他的左肝已经被“掏空”了

变成了一个大脓球


144807xoqurpkhaldzl2p2.jpg


医生仔细测量了一下

大脓球达到19cm×18cm×12cm 大小

如图所示

↓↓↓

144808swprkvpvviluri2d.jpg

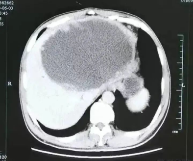
入院后腹部CT检查发现

谢先生的肝脓肿壁上

长了很多肿瘤样的结构

而且壁很厚

看来这个肝脓肿,不简单

144808ixp3p5fz4f3hl942.jpg





元凶为细菌?真菌?结核?肿瘤?

医生:都不是


为了让脓球变小,进一步追查“元凶”,医生在超声指引下给谢先生做了脓球的穿刺引流,结果大量的灰白色脓液被顺利引出

但是经过一系列的检查后,却没有发现细菌、真菌、结核和恶性肿的“踪迹”。

那谢先生到底得了什么病呢?

144808yduihdou7j153235.jpg


经过肝胆外科、感染科、影像科等多学科会诊及讨论后,医生果断地为患者进行了手术将左半肝切除,完整地拿掉了这个迷雾重重的病灶。

谁都没有想到,病理医生切开后看到脓肿壁上大量的肿瘤样结构竟然是“肉芽肿性炎性肿块”。

里面甚至还爬满了灯泡状、壳厚的华支睾吸虫虫卵(又称为肝吸虫),脓肿内多得数不清,看得人头皮发麻……




人的身体里

为什么会有这么多虫卵?


术后,谢先生回忆起自己回老家时,买过当地的鱼做了一次酸菜鱼。

“为了追求鲜嫩的口感,鱼片我只用热水氽了几十秒就吃了。”谢先生说,他们当地有生吃或半生吃鱼片的习惯,当地人称之为“鱼生”。

这下真相大白了!肝吸虫虫卵喜欢躲在淡水鱼虾等水产品体内,当人们吃了卫生不达标的生鱼片或未熟透的鱼虾等食物时,它就会随之悄悄潜伏进人体。

1

医生:

“一旦鱼被肝吸虫感染,吃了生鱼片之后人随即也会感染。

此虫繁殖力惊人,每次可产1400到2000个卵,而且可存活20到30年。如果置之不理,它们不仅会在肝内安家,而且会靠肝“吃”肝。

但是由于近年来各地的卫生状况和人们的生活习惯越来越好,现在我们已经很少能见到此类病人了。”


医生表示,不管是哪里的淡水鱼和淡水虾,还有经淡水回游的海鱼都有可能被肝吸虫感染。




淡水鱼中较常见的寄生虫

肝吸虫 可寄生68种鱼


四川省人民医院感染内科的主任医师杨兴祥和副主任医师王蜀强曾在接受成都商报采访时介绍,在淡水鱼的寄生虫中,比较常见的就是肝吸虫。





吸虫


● 它是我国感染率最高的寄生虫之一;

● 肝吸虫幼虫可游走进胆总管,虫体寄居于肝内胆管,在那里长期定居并发育为成虫;

● 可引起黄疸、胆管结石、胆管炎、肝炎甚至肝硬化和胆管癌等疾病。




目前已证实的肝吸虫中间宿主:


鲤鱼、草鱼、鳊鱼、鲫鱼、大头鱼、土鲮鱼等68种。




如何预防?


● 吃烤鱼、火锅、烧烤别急,熟了再吃;

● 别生吃淡水鱼鱼片、“醉虾”,“醉蟹”;也别把生鱼虾喂给自己宠物;

● 别喝生水。


1

杨兴祥医生:

“我遇到过这样的患者,吃烤鱼时皮烤熟了,其实肉没熟,吃了没熟的肉,导致寄生虫感染。”




感染寄生虫后,会有什么感觉?


医生表示

寄生虫感染以后

根据寄生虫寄生的部位

症状表现也不同




肠道寄生虫感染


腹部不适,腹部隐痛,食欲差、营养不良;




全身寄生虫感染


可能出现发烧;




肝脏、肺脏寄生虫感染


可能出现发烧,抽血可见血象变化;CT检查可见相关脏器出现阴影;




皮下寄生虫感染


肌肉出现酸痛,皮下有结节。




怀疑自己感染了寄生虫

该做什么检查?


如果自己有过生食记录

或者喝过生水

担心自己寄生虫感染的

应该怎么检查?

1

王蜀强医生:

“部分寄生虫感染可以通过查血获得一定线索,肠道寄生虫可以通过粪便检查出来。

也有在做其他检查时发现体内寄生虫的情况,比如有患者在做胃肠镜时,通过胃镜和肠镜发现了十二指肠和肠道里有虫。”


医生提醒,对于怀疑肺吸虫病、包虫病、囊虫病等,如临床不能区分,建议到专业的检查机构:疾控中心检查寄生虫抗体。

但是,因为寄生虫种类实在是太多了,可能存在无法确认是什么寄生虫的情况。


来源:都市快报、成都商报、健康时报、辽宁生活

荣耀渭南网---每天我们都在影响这座城市!

该用户从未签到

发表于 2021-6-22 15:09 | 显示全部楼层
荣耀渭南网---每天我们都在影响这座城市!

该用户从未签到

发表于 2021-6-22 15:41 手机版 | 显示全部楼层
荣耀渭南网---每天我们都在影响这座城市!

该用户从未签到

发表于 2021-6-22 17:11 手机版 | 显示全部楼层
太吓人了,食物还是煮熟的吃才好。不要吃什么生肉。
荣耀渭南网---每天我们都在影响这座城市!

签到天数: 12 天

[LV.3]偶尔看看II

发表于 2021-6-22 17:46 手机版 | 显示全部楼层
荣耀渭南网---每天我们都在影响这座城市!

该用户从未签到

发表于 2021-6-22 18:14 手机版 | 显示全部楼层
荣耀渭南网---每天我们都在影响这座城市!

该用户从未签到

发表于 2021-6-22 19:50 手机版 | 显示全部楼层
这也太吓人了吧

荣耀渭南网---每天我们都在影响这座城市!

该用户从未签到

发表于 2021-6-22 20:00 手机版 | 显示全部楼层
太吓人了,还是不要胡吃滴好
荣耀渭南网---每天我们都在影响这座城市!

该用户从未签到

发表于 2021-6-22 21:09 手机版 | 显示全部楼层
病从口入,祸从口出!
荣耀渭南网---每天我们都在影响这座城市!

该用户从未签到

发表于 2021-6-22 22:14 手机版 | 显示全部楼层
不管吃什么,一定要做熟了在吃
荣耀渭南网---每天我们都在影响这座城市!

使用高级回帖 (可批量传图、插入视频等)快速回复

您需要登录后才可以回帖 登录 | 立即注册 |

本版积分规则   Ctrl + Enter 快速发布  

发帖时请遵守我国法律,网站会将有关你发帖内容、时间以及发帖IP地址等记录保留,只要接到合法请求,即会将信息提供给有关政府机构。
返回顶部快速回复返回列表找客服
快速回复 返回顶部 返回列表