[渭南市中心医院] 渭南市中心医院成功实施经口内镜下咽旁间隙巨大肿物切除术

  [复制链接]

该用户从未签到

分享到:
发表于 2026-2-2 08:58 | 显示全部楼层 |阅读模式

马上注册荣耀渭南网,结交渭南乡党,享用更多功能,让你轻松玩转荣耀网

您需要 登录 才可以下载或查看,没有账号?立即注册 |

x



1月23日,渭南市中心医院耳鼻喉头颈外科再次为一名患者成功实施经口内镜下咽旁间隙巨大肿物切除术。此次手术标志着该院在头颈肿瘤微创治疗方面的技术进一步成熟,为复杂头颈部疾病患者提供了更优治疗选择。

挑战:深藏不露的“隐秘”肿物

085734xkaapw664j4q6kl6.png

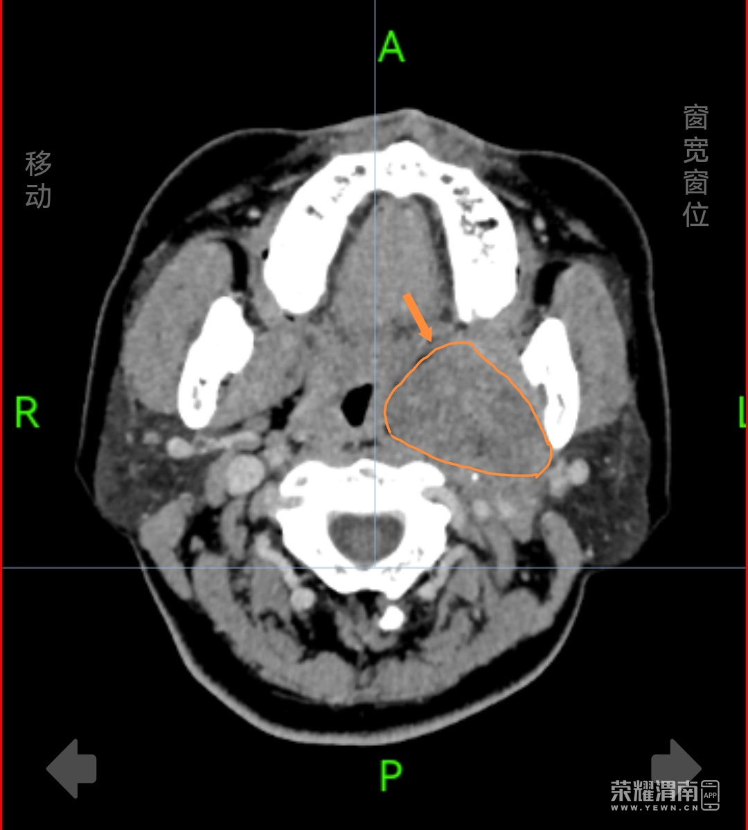
患者杨女士(化名),44岁,在体检颅脑CT检查中发现咽旁间隙存在一处大小约7×6×6厘米的肿物。这个位置特殊——咽旁间隙是位于颈部深处的潜在腔隙,周围毗邻颈内动脉、颈内静脉、颅神经等重要结构,传统手术需要从颈部外部做切口,创伤大、风险高,且术后可能遗留明显疤痕。为寻求更佳治疗方案,杨女士来到渭南市中心医院就诊。

创新:微创路径解决传统难题

咽旁间隙肿瘤手术一直是耳鼻喉头颈外科的技术难点。科室主任宋建涛介绍,传统手术需在颈部切开约8-10厘米切口,创伤较大,恢复周期长,且存在损伤面部神经等风险。经科室详细讨论,医疗团队决定为患者施行经口内镜下肿物切除术。

与传统开放手术相比,经口内镜下咽旁间隙肿物切除术具有明显优势:1. 无颈部疤痕:手术经自然腔道进行,颈部无切口,满足患者美观需求。2. 创伤小、恢复快:避免了大范围组织剥离,术后疼痛轻,住院时间缩短。3. 功能保护更好:内镜放大视野有助于识别和保护重要神经血管。4. 并发症少:降低了感染、血肿、神经损伤等风险。

手术:毫米之间的精密操作

手术在麻醉科协作下进行。耳鼻喉头颈外科团队借助内镜系统放大显示手术区域,清晰观察肿瘤与周围血管、神经的解剖关系。凭借丰富解剖经验与内镜操作技术,医生在有限空间内仔细分离肿瘤组织,完整保留重要血管与神经。手术历时两个多小时,肿瘤被完整切除,术中出血约50毫升。

据参与手术的副主任医师赵海军介绍,手术关键在于在狭小空间内完整切除肿瘤的同时,保护好周围重要结构。内镜提供的清晰视野与照明,为精细操作提供了保障。

科普知识:认识咽旁间隙肿瘤

咽旁间隙是位于颈部深处的潜在腔隙,分为茎突前隙和茎突后隙。这个区域发生的肿瘤虽然不多见,但种类繁多,包括唾液腺肿瘤、神经源性肿瘤、血管瘤等。咽旁间隙肿瘤早期症状不明显,可能仅表现为咽部异物感或不适。随着肿瘤增大,可能出现吞咽困难、呼吸不畅等症状。由于位置深在,常规体检难以发现,往往需要CT或MRI检查才能确诊。专家提醒,如果出现持续不缓解的咽部异物感、吞咽困难或颈部无痛性肿块,应及时到耳鼻喉科就诊,进行专业检查。

专科实力:打造区域头颈疾病诊疗中心

渭南市中心医院耳鼻喉头颈外科配备鼻内镜、喉内镜、手术显微镜等先进设备,拥有一支经验丰富的医疗团队。科室近年来持续开展技术创新,提升复杂头颈疾病诊疗能力。此次手术的成功开展,体现了耳鼻喉头颈外科在微创头颈外科技术上的稳步发展,以及在复杂头颈疾病领域的诊治能力。科室将继续推进技术探索与创新,为更多头颈疾病患者提供优质、微创的治疗方案。




荣耀渭南网---每天我们都在影响这座城市!
头像被屏蔽

该用户从未签到

发表于 2026-2-2 15:09 手机版 | 显示全部楼层
提示: 作者被禁止或删除 内容自动屏蔽
荣耀渭南网---每天我们都在影响这座城市!

该用户从未签到

发表于 2026-2-2 15:43 手机版 | 显示全部楼层
提高医疗服务质量
荣耀渭南网---每天我们都在影响这座城市!

该用户从未签到

发表于 2026-2-2 16:30 手机版 | 显示全部楼层
技术越来越先进了
荣耀渭南网---每天我们都在影响这座城市!

签到天数: 685 天

[LV.9]以坛为家II

发表于 2026-2-3 09:13 手机版 | 显示全部楼层
为优秀的白衣天使点赞
荣耀渭南网---每天我们都在影响这座城市!

该用户从未签到

发表于 2026-2-4 22:39 手机版 | 显示全部楼层
技术越来越先进了
荣耀渭南网---每天我们都在影响这座城市!
头像被屏蔽

该用户从未签到

发表于 2026-2-19 16:46 手机版 | 显示全部楼层
提示: 作者被禁止或删除 内容自动屏蔽
荣耀渭南网---每天我们都在影响这座城市!
头像被屏蔽

该用户从未签到

发表于 2026-2-26 21:29 手机版 | 显示全部楼层
提示: 作者被禁止或删除 内容自动屏蔽
荣耀渭南网---每天我们都在影响这座城市!

使用高级回帖 (可批量传图、插入视频等)快速回复

您需要登录后才可以回帖 登录 | 立即注册 |

本版积分规则   Ctrl + Enter 快速发布  

发帖时请遵守我国法律,网站会将有关你发帖内容、时间以及发帖IP地址等记录保留,只要接到合法请求,即会将信息提供给有关政府机构。
返回顶部快速回复返回列表找客服
快速回复 返回顶部 返回列表